CONCEPT
歯の神経を抜かない治療
歯を抜かない根管治療を提供するため
当院では、削り過ぎない虫歯治療、歯の根を抜かない歯髄保存治療や歯を抜かない歯の根の治療(根管治療)などの治療成功率を上げるために、マイクロスコープやCTを使用した精密な歯科治療を行なっています。他院で神経を抜くと言われた方や、虫歯治療を繰り返してしまっている方は、当院へご相談ください。
MEDICAL精密な歯科治療で
出来ること
当院が行なっている、精密な歯科治療の3つについてご紹介いたします。
CASE
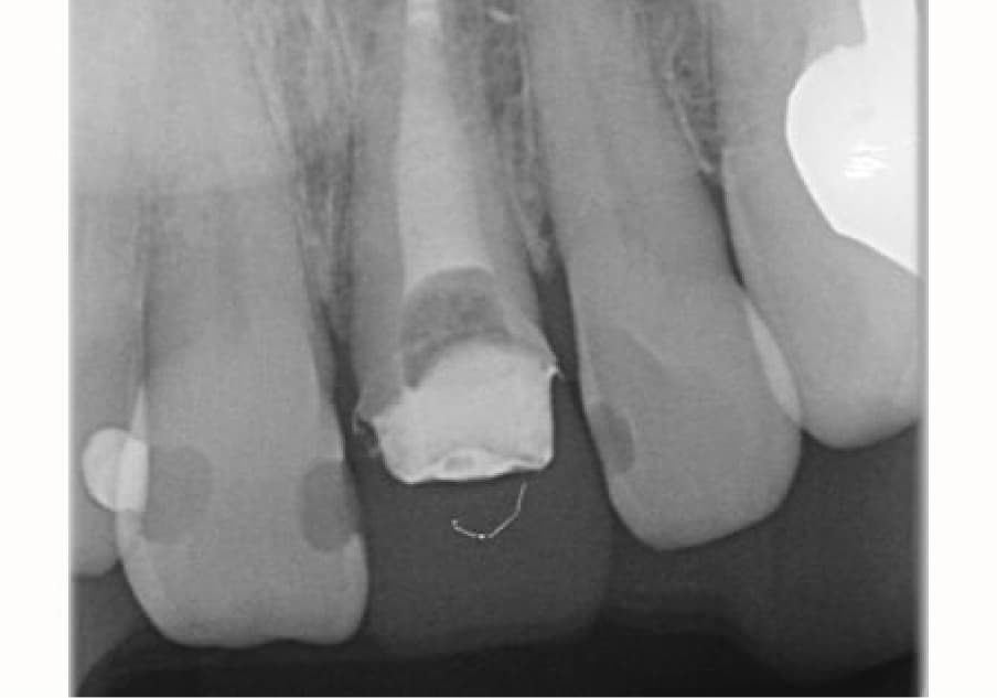
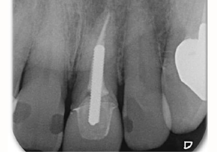
前歯の歯茎が腫れてきた
再根管治療の症例について
20年ほど前に転倒して歯冠破折、歯科を受診し抜髄、補綴処置を受けた。1ヶ月位前に腫脹を確認して歯科を受診、当院へ紹介されました。
症例紹介では、来院いただいた患者様のお悩みや症状を基に、どんな診断を行ない治療に至ったのかをビフォーアフターだけでなく、治療の流れを含めてご紹介いたします。いま悩んでいる事に近いお悩みの症例がありましたら、参考にして頂き、ご相談ください。
| 主訴 | 前歯の歯茎が腫れている | 診断 | 慢性化膿性根尖性歯周炎 |
|---|---|---|---|
| 治療時年齢 | 57歳 | 性別 | 男性 |
| 治療期間/回数 | 1ヶ月ほど | 費用 | 22万円(税込み) ※紹介のため、補綴は行っておりません |
| 治療時の注意点 | 再根管治療となるので、必然的に初回の根管治療より、成功率が下がりやすい傾向があります。 ※自由診療の範囲となります。 |
||

CLINICクリニック案内
| SUN | MON | TUE | WEB | THU | FRI | SAT |
|---|---|---|---|---|---|---|
| 1 | 2 | 3 | ||||
| 4 | 5 | 6 | 7 | 8 | 9 | 10 |
| 11 | 12 | 13 | 14 | 15 | 16 | 17 |
| 18 | 19 | 20 | 21 | 22 | 23 | 24 |
| 25 | 26 | 27 | 28 | 29 | 30 | 31 |
- 休診日
- 午後休診
CONTACT
虫歯治療や歯の根(神経)を抜かない歯髄保存治療や歯の根を抜いても歯を抜かない根管治療のことなら、当院へご相談ください。






